结肠癌术后肺多发转移    
2017年05月12日
标签:
对此内容提问

目录

又1名中国肿瘤患者获得资助,在美国Edge治疗中心圆满完成EDGE速锋刀肿瘤无创手术治疗。

【53岁何先生,结肠癌术后肺3个转移灶,于2015年8月上旬成功实施EDGE肿瘤无创放射切除手术,隔天1次,共4次,每次在治疗室时间约40分钟。】

何先生,53岁,中分化结肠腺癌,2013年年底在当地医院实施肠镜手术,术后盆腔放疗23次,每天1次,每次2Gy。2014年3月复发,实施Mile`s手术,术后放疗(23次,每天1次,每次2Gy)和化疗。2015年4月PET-CT发现左右肺各有1个转移灶。CEA 从2015年3月5.35升至2015年6月的15.9。

2015年6月何先生家人通过北京亨利福特即美国Edge治疗中心中国区联络处详细了解EDGE治疗情况,并获得医疗资助名额。Edge治疗中心专家经过对何先生病情的会诊,实施EDGE肿瘤无创切除手术对何先生的肿瘤控制有益,同意接受何先生前往Edge肿瘤中心进行治疗。

2015年7月底,何先生与家人共2人到达美国。

何先生的EDGE治疗由15个人组成的团队负责。考虑到何先生多次放化疗和体质因素,决定隔天1次进行EDGE放射治疗。经过3天时间,制定EDGE实施的详细计划。2015年8月4日开始第1次EDGE治疗,3个肿块分成2个部位进行,每个部位加上准备时间约20分钟,2个部位共约40分钟。每个转移灶每次给予12Gy剂量,每个转移灶4次总计剂量为48Gy。

治疗结束后的第3天,何先生与家人回国。2个月时在当地医院影像复查。

EDGE治疗不需住院,不需要麻醉,完全无创,在舒适的体位状态下进行。第1次治疗后,何先生对医生说,治疗时在肺部里面有一个点状的轻微疼痛感,大概持续几分钟时间。

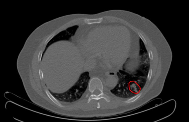
到达美国Edge治疗中心(亨利福特)后PET-CT检查:排除右肺肿块肿瘤可能;左肺出现3个肿块,如下图。

Alt text

 


8月15日结束治疗后回国。2015年10月14日在中国当地医院复查,何先生情况良好,胸部CT显示肺部肿块肿瘤灶消失、纤维化,见治疗前后影像图(左图为治疗前,右图为治疗后2月)。

Alt text

阅读数:6268